Lorem ipsum dolor sit amet, consectet eiusmod tempor incididunt ut labore e rem ipsum dolor sit amet. sum dolor sit amet, consectet eiusmod.
| Mon - Fri: | 8:00 am - 8:00 pm |
| Saturday: | 9:00 am - 6:00 pm |
| Sunday: | 9:00 am - 6:00 pm |






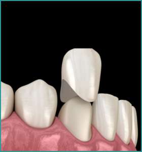
A dental crown is a tooth-shaped cap designed to cover and protect weak, damaged, or decayed teeth. Crowns fit securely over the entire tooth after a small portion of enamel is removed to ensure proper bonding.
At Dental Que, Punjabi Bagh, West Delhi, under the expertise of Dr. Harshaa Dutta, we provide durable and natural-looking dental crowns tailored to restore both function and appearance.
Dental crowns are recommended for various purposes, including:
There are various types of dental crowns. Your personal preferences and specific oral health requirements will determine which type is best for you.
Dental crown placement usually takes two appointments:
Dental crown procedures involve the following steps:
When the lab completes your new crown, they will return it to your dental clinic. During the second visit, your dentist will
A dental crown’s main advantage is that it can extend the life of a natural tooth. Specifically, crowns can:
There are also some disadvantages, including:
Whether you have a temporary or permanent crown, you should avoid certain foods, including:
These foods could harm or dislodge (pull) your crown
Contact your dentist if you notice:
Dental crowns are an excellent solution for worn, damaged, or decayed teeth. The right crown depends on your oral health, preferences, and budget. While crowns are strong, they are not indestructible and may need replacement over time. Regular dental care and hygiene ensure your crown lasts for many years.
At Dental Que, Punjabi Bagh, West Delhi, led by Dr. Harshaa Dutta, we provide expert dental crown treatments to restore both function and the natural beauty of your teeth.
DentalQue is a trusted multispeciality dental clinic in Punjabi Bagh, West Delhi, established in 2002, offering expert care in braces, implants, and complete dental health solutions. With advanced technology, modern equipment, and experienced dentists, DentalQue is committed to delivering high-quality, reliable, and patient-focused dental care.
WhatsApp us